30대 교정일기 #1 : 치료 1~4회차 (3개월 경과)
30대 중반에 시작한 치아교정.
이제 약 3개월이 지났고, 치아교정 치료는 4회 진행했다.
부정교합 2급 교정 + 토끼 앞니와 아래덧니 교정을 하려고 시작했고,
이중 토끼 앞니는 거의 보름만에, 아래 덧니는 아래 발치 후 약 2개월 내에 배열이 고르게 펴졌다.
- 치료 1회차 (시작, 21' 11. 29.): 윗니 교정기 부착 + 와이어 연결
치료를 결정하고도 치과 가기 전까지도 고민했다. 교정을 정말 해야 하는 걸까 하고.
건강한 치아를 늦은 나이에 괜히 못살게 구는 것 아닌가 싶어서 말이다. 그런데 입을 다물때마다 턱에 생기는 주름과 화난 표정처럼 되는 것... 사진찍을 때도 스트레스 받았던 지난 시간들을 떠올리면, 한번 해보자 싶었다.
10년전 턱관절 문제로 아랫턱이 더 작아져 부정교합이 된 것을 교정할 필요도 있어졌고 또 나의 이미지 메이킹에도 도움이 될 것이라 생각했다. 귀여운 이미지에서 이제는 좀더 세련된 모습으로 변화하고 싶었다.
그럼에도 치료 과정이 고통스러울 것 때문에, 마지막까지도 고민했는데, 다행히도 치료 첫날은 아프지 않았다. 윗니만 교정기를 붙였고, 지금보니 얇은 와이어를 연결하기만 했다.
장치 부착 후에는 입술로 교정기가 바로 잡힐 정도였고, 교정기 때문에 입술을 다물면 더 입이 나와보였다 ㅜㅜ 그리고 밥알을 씹으면 약간 치아에 무리가 갈 것 같은 느낌이라, 밥 보다는 스프와 죽, 계란찜, 두부를 주로 먹었다.
그러던 어느날, 가만히 있어도 입술로 잡히던 교정기가 잡히지 않았다. 좀더 안쪽으로 힘을 줘야 잡혀서, 사진을 한번 찍어보았다. 치아배열이 전과 달리 고르게 변화되어 있었고, 토끼 치아가 두드러지던 것이 들어가 있었다. 약 2주만의 변화였다. 신기했다.

- 치료 2회차 (1개월 경과, 21' 12. 27.): 아랫니 교정발치 + 아랫니 교정기 부착 + 와이어 연결
첫 발치였다. 생니를 뽑는 건데... 그 자체가 기분이 썩 좋지는 않았다. 이게 뭐하는 짓인가 싶었고 ㅎㅎ
발치 전에는 치아 앞뒤 고르게 마취주사를 놓는다. 마취주사가 아플까 걱정했는데, 전혀 아프지 않았다. 주사바늘 들어오는 지도 잘 몰랐다. 의료기술의 발달을 새삼 깨달으면서.. 세상 참 좋아졌구나 싶었다. 이후 약간 시간을 두고 마취제가 고르게 퍼지게 한 뒤, 발치 전문의께서 치아 주변을 찔러보고 내가 감각이 없다고 하면 그제야 발치를 시작했다.
그런데 문제는 나의 턱관절에 있었다. 한쪽 턱관절에 문제가 있었던 터라, 반대방향 턱을 지렛대로 삼아 뽑아야 하는 상황에서 반대쪽 아랫니 발치할 때 자칫 부주의하게 뽑았더라면.. 으으.. 생각만 해도.. 치아가 아픈게 아니라 턱이 아플 뻔했으니. 다행히도 발치 전문의께서 발치 전에 좌우로 치아를 천천히 흔들면서 내 의견을 물으면서 차분히 진행되었고, 턱이 아픈 것을 말씀드려서 무리 없이 발치를 했다. 발치 자체는 통증이 없었다. 이미 마취를 잘 했기 때문에~ 다만 치아가 빠지는 것이 뿌리째 뽑기 때문에 쑤욱- 하고 나오는 그 느낌이, 생니를 뽑는다는 그 생각과 맞물려 기분이 별로 좋지 않았다. 내 치아....ㅜㅜ
- 치료 3회차 (2개월 경과; 22' 01. 19.): 윗니 교정발치 + 좌측 어금니 고무줄연결 + 양쪽 어금니 파란색 붙임

이번에는 윗니도 교정발치를 진행했다. 다행히 윗쪽이라 턱관절을 걱정할 필요는 없었다. 그리고 발치할 부분은 교정장치를 부착하지 않아서인지, 교정이 진행됨에 따라 발치할 부분의 치아가 약간 움직이는 느낌이 들어 얼른 발치해서 공간을 만들고 싶었다. 발치 전 마취주사는 아랫니 발치 때와 달리 주사 느낌이 조금 느껴졌지만 아플 정도는 아니었다. 약간 더 뻐근했다.
발치 전에 나의 어금니 구조 상 한쪽 치아가 위로 올라가 있어, 이 부분을 고무줄로 교정을 진행해야했다. 고무줄을 걸기 위해 아래덧니 안쪽에 고정장치? 같은 것을 붙였고, 양쪽 어금니 중간에 파란색 지지대를 붙였다. 이 파란색 지지대를 평평하게 붙인 게 아니라, 안쪽 모서리 방향으로 붙여서, 밥 먹을 때 불편할 거라고 주치의가 여러번 반복하셨는데, 오히려 지지대를 이용해서 씹으니 어금니 전체에 음식이 안 닿아서 인지 잘 먹을 수 있었다.
그리고 이 날은 치료 마지막에 치위생사분이 달그닥 거리다가 치료도구를 내 치아에 떨어뜨렸다.. 으악. 치아가 가뜩이나 건드려도 아픈데.. 정말 화가 났다.
그렇게 2개월 가량의 시간이 지나니, 발치한 곳의 잇몸은 차오르고, 안쪽으로 있던 덧니는 바깥으로 나가면서 배열이 고르게 펴졌다.
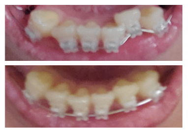
- 치료 4회차 (3개월 경과; 22' 02. 23.): 와이어 두께 약 1mm + 얇은 와이어를 앞쪽에만 감음 + 고무줄 좌우 양옆 1개씩+어금니 파란색 붙인 것 제거 + 좌측 어금니 고무줄 유지

지난번 어금니 고무줄 효과가 있었나보다, 많이 좋아졌다고 하셨다. 그래서 지난번 파란색 지지대를 제거했다. 제거하면서 덜덜이(?)로 치아에 남은 파란색들을 갈아 제거하는 작업을 했다. 소리만 들으면 공사장에 있는 것 같았다. 그런데 그 진동이 고스란히 치아를 거쳐 내 두개골까지 전해지는 기분이란 참... 이게 뭔짓인가 싶은 생각이 다시 한번 들었다.
이번에는 치아에 굵은 와이어를 넣었고, 와이어가 굵어서인지 넣다가 장치가 하나 탈락해서 다시 붙여야 했다. 붙이기 전에 전에는 일전에 붙인 접착제가 표면에 남아있다며 이것도 긁어내야 했다.
와이어 다 넣은 후에는 장치 뚜껑 닫아햐 하는데, 이 때가 겁이 난다.. 닫을 때 보통 눌러 닫기 때문에, 치아가 조금씩 이동하고 있는 터라 막 누르면 아프다 ㅜㅜ 세게 막 눌러서 뚜껑 닫고, 심지어는 안쪽을 손가락으로 받치지 않고 누르면 얼른 그 순간이 끝나기를 바랄 수밖에 없다. 그래서 이 작업하기 전에는 온몸이 긴장한다.
이번에는 그보다 강력한 것을 경험했다.. 그것은 바로.. 와이어 위에 얇은 와이어 감기!!! 얇은 와이어를 앞쪽 치열에만 감는데, 더 타이트하게 조여지는 효과가 있었다. 그래서 진짜 눈물이 찔끔 날뻔했다. 으으~ 이런 소리가 내면에서.. 그런데 주치의 샘이 손이 얼마나 빠르고 말씀도 얼마나 빠르신지.. 아픔을 느낄 새 없도록 주의을 교란시키려는 작전이신지.. 내용은 오늘 어떤 치료를 했고 고무줄을 양쪽에 사다리꼴로 걸으실 거란 설명이었다. 사진에는 안 보이지만 양 사이드에 고무줄을 걸었다. 입을 많이 벌리지 말라는 건가 했는데ㅎ 다시 보니, 위의 어금니부분을 앞쪽으로 이동하지 않게 하려는 건가 싶다.
그리고 그날 저녁, 저녁 먹은 후에 양치하려고 보니 고무줄이 하나가 사라져 있었다.. 입 안에도 없고 저녁 먹다가 삼켰나보다. 그리고 인터넷 폭풍 검색하니, 다행히 이미 경험자분들은 많이 먹어봤다고 하는 글을 보고 안심(?) 하고.. 앞으로는 식사 전에 고무줄을 다 빼기로 했다. 그리고 새삼, 내 입안의 많은 장치들이 있으며, 이것들을 삼키지 않도록 주의해야 겠다는 경각심을 느겼다. 어떤 분은 밥 먹다가 와이어를 끊어서 와이어가 넘어간 사례도 있었다. 다행히 체외배출이 된 것으로 나왔는데, 넘 무서웠다. 그리고 교정장치는 보통 배출된다고 연구한 논문도 있더라.. 그 후로는 기상한 뒤 그리고 이따금씩 장치가 다 잘 붙어 있는지 고무줄 잘 걸려 있는지안 삼켰는지 확인하게 된다.
현재 배열은 펴졌지만, 사진에서도 보이듯이 치아 높낮이는 아직 다르다. 좌측이 높고 우측이 낮은 상황. 인터넷 검색을 해보니, 먼저 배열을 펴는 것을 우선으로 하고, 이후에 안으로 넣거나 높낮이 조절을 한다고 하니 기다려 봐야겠다.